Карієс шийки зуба – це одне з найбільш поширених і водночас недооцінених стоматологічних захворювань. Такий тип патології виникає на ділянці, де зубна одиниця стикається з яснами. Якщо його вчасно не вилікувати, це може призвести до серйозних ускладнень, в тому числі карієсу кореня і навіть втрати зуба. У цій статті ви дізнаєтеся про причини, симптоми, варіанти лікування та методи профілактики цієї серйозної проблеми.
Причини появи карієсу шийки зуба
Винуватцями каріозного руйнування зубів є бактерії. А точніше, продукти їхньої життєдіяльності, які містять органічні кислоти. Внаслідок їх згубного впливу зубна емаль починає поступово руйнуватися. Потім з’являються порожнини, через які карієс проникає у внутрішні тканини й руйнує дентин, утворюючи каріозну порожнину. Ерозію можуть спровокувати такі чинники:

- Накопичення зубного нальоту та зубного каменю.
- Недостатня гігієна порожнини рота. Наприклад, якщо ви не користуєтеся зубною ниткою, це може призвести до появи карієсу між зубами.
- Гінгівіт і пародонтит. Ці захворювання ясен оголюють нижню частину зубів, що робить її більш вразливою до хвороботворних бактерій.
- Вживання продуктів, багатих на цукри й кислоти.
- Надмірне використання абразивних зубних паст, які стоншують зубну емаль.
- Сухість у роті, оскільки нестача слини перешкоджає нейтралізації кислот.
Симптоми пришийкового карієсу
Початкова стадія карієсу, переважно, протікає без симптомів, а тому часто залишається непоміченою. Однак з часом з’являються такі ознаки:
- Чутливість до холодних та гарячих продуктів і напоїв.
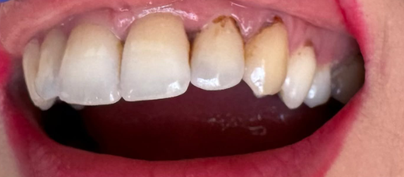
- Зміна кольору поверхні зуба в шийній частині: від білого до коричневого або чорного.
- Біль або дискомфорт під час жування та чищення зубів.
- Локальне запалення або кровоточивість ясен навколо ураженого зуба.
Як лікують карієс
Методи лікування пришийкового карієсу безпосередньо залежать від ступеня пошкодження зуба:
- Ремінералізація. На ранніх стадіях хворобу можна зупинити, застосовуючи спеціальні гелі або лаки для зміцнення емалі.
- Пломбування. Коли карієс запущений, уражену тканину видаляють, а порожнину заповнюють пломбувальним матеріалом.
- Естетична реставрація. Якщо карієс на передніх зубах, для відновлення функції та естетичного вигляду зуба використовують композитні матеріали.
- Лікування кореневих каналів: якщо карієс досягнув пульпи, може знадобитися ендодонтична терапія.

Що робити, щоб уникнути карієсу
Найкращий спосіб боротьби з карієсом шийки зуба – це його профілактика. Ось кілька основних порад, які допоможуть захистити себе:
- Регулярно чистьте зуби: щонайменше двічі на день зубною пастою, збагаченою фтором та кальцієм.
- Використовуйте зубну нитку, що допомагає видалити наліт із важкодоступних місць.
- Відвідуйте стоматолога щонайменше двічі на рік для профілактичних оглядів та професійного чищення.
- Дотримуйтеся принципів здорового харчування: обмежте споживання солодкого та кислого і збільште в раціоні кількість фруктів, овочів та молочних продуктів.
- Використовуйте антибактеріальні ополіскувачі для ротової порожнини, що зменшують ризик накопичення зубного нальоту.
У випадку ретельного дотримання цих простих рекомендацій, інформація, як лікують карієс, буде для вас неактуальною. Однак якщо ви помітили якісь симптоми, не відкладайте візит до фахівця — від цього залежить ваше здоров’я!
Пам’ятайте: самолікування без точної діагностики може привести до ускладнень та додаткових витрат на терапію. Крім візуального огляду, дантисти стоматологічного центру White Clinic використовують інноваційні рентгенівські апарати. Це сучасне обладнання дозволяє виявити карієс, який не помітний неозброєним оком. Ми потурбуємося про красу вашої посмішки!


